Esaote Q7 Vet trådløs ultralyd.
Håndholdt trådløs ultralyd for veterinærer
- For deg som trenger en enkel og lett ultralyd for veterinærer
- 6 stk utbyttbare probehoder bl.a. Mikrokonvecs, Transrektal, Lineær, Konvecs m.fl.
- 20 + dedikerte presets for veterinærer
- Vanntett. IP68
- 4 timers batteritid
- Farge doppler, M-Mode, PW mode og Power mode
Leasing fra
1477,- / mnd
Kjøpe istedet?
(0,- innskudd)
Estimert pris basert på 5 års kontrakt.
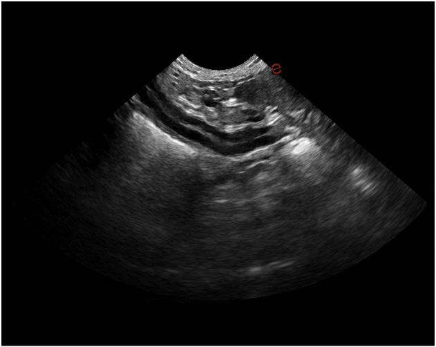
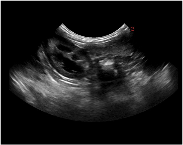
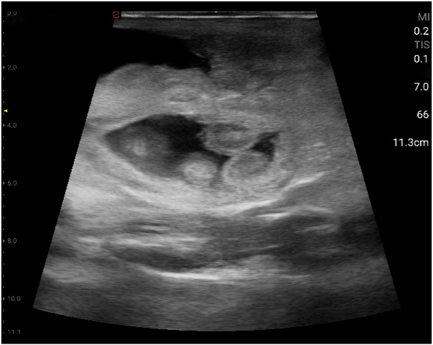
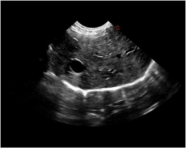
Produktbeskrivelse Esaote Q7 Vet trådløs ultralyd.
Esaote Q7 Vet er et trådløst, håndholdt ultralydapparat dedikert for veterinærer. Spesialtilpassete forhåndsinnstillinger og software og database designet for dyr. Esaote Q7 kombinerer kraften til moderne ultralydteknologi med brukervennlighet og mobilitet.
Med håndholdt ultralyd og en smartmobil/nettbrett, kan du gjøre raske og gode undersøkelser med Esaote Q7. Dets trådløse design gjør det mulig å utføre ultralydundersøkelser av høy kvalitet når som helst og hvor som helst. Alt er tilrettelagt for en vellykket undersøkelse.

Lett og kraftig :
Q7 VET redefinerer bærbarhet uten å kompromittere ytelsen. Den veier bare 140 gram og er kompakt nok til å gli inn i en lomme, så lett at du glemmer at du bærer den — men likevel kraftig nok til å levere uavbrutt høyytelses skanning i over 4 timer. Denne fjærlette kraftpakken tilpasser seg sømløst til ulike veterinærmiljøer, fra klinikk til felt, og gjør at veterinærer på tvers av spesialiteter kan fokusere på pasientene sine mens de setter en ny standard for effektivitet. Tenk stor kapasitet, ikke bulk.
Vekt: 160g, med linær probehodet
Størrelse: 150x40x25 mm med linær prøvehodet
Batteritid: 4 timer med skanning
Bytt probe på sekunder :
Q7 VET eliminerer nedetid med sitt hurtigbyttende probesystem, designet for å tilpasse seg forskjellige veterinærbehov. Bytt enkelt prøvehoder på sekunder — ingen verktøy, ingen omstart, bare klikk av og på. Med nesten umiddelbare responstid og at innstillingene automatisk tilpasses den nye proben, holdes arbeidsflyten jevn og du kan fokusere på pasienten.
Funksjonstaster på probe for frys, dybde, gain opp, gain ned. Alle prober leveres med norsk brukerveiledning og lader.



